Infeksionet dentare dhe rreziku për zemrën dhe trurin:paralajmërimi i dentistëve .
Infeksionet dentare dhe rreziku për zemrën dhe trurin:paralajmërimi i dentistëve .
Nga Dr Brunilda Llubani.Shëndeti i gojës shpesh neglizohet derisa shfaqet dhimbja,por studimet shkencore tregojnë se problematikat dentare nuk janë vetëm cështje lokale.Infeksionet e mishrave të dhëmbve dhe dhëmbët e patrajtuar,mund të ndikojnë drejtëpërdrejt në zemër,tru dhe në gjithë organizmin.
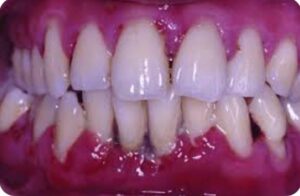
– Si kalon infeksioni nga goja në gjak Sëmundjet periodontale,si gingiviti dhe periodontiti ,shkaktohen nga baktere të cilat grumbullohen rreth mishrave dhe dhembëve .Kur mishrat janë të gjakosura dhe të inflamuara,këto baktere futen në qarkullimin e gjakut dhe nëpërmjet tij shkojnë në organet e tjera !
-Lidhjet me sëmundjet e zemrës: Bakteret orale dhe inflamacioni kronik ndikon në:
-ngushtimin e enëve të gjakut
-formimin e pllakave aterosklerotike
– rritjen e rrezikut për infark dhe sëmundjet koronare Ndikimi në tru dhe demenca. Studimet e fundit kanë treguar se bakteret orale mund të arrijnë në tru duke shkatuar inflamacion dhe dëmtime të indeve nervore .

Kjo lidhet me një rrezik të lartë për zhvillimin e demencës dhe sëmundjes së Alzheimerit.Inflamacioni kronik është një nga faktorët që con në plakjen e trurit.Kur burimi i këtij inflamacioni është goja ,shpesh kalon pa u vënë re .
Goja -pasqyrë e shëndetit të përgjithshëm. Problemet dentare lidhen edhe me :
-përkeqësimin e diabetit
-rrezik më të lartë për goditje në tru
– komplikacione në shtatzani(risk për lindje të parakohshme).
Shëndeti oral është pjesë thelbësore për kujdesi,mjekësor të gingivave ,jo thjesht cështje estetike .
Kontrollet e rregullta shpëtojnë më shumë se dhëmbët .

Kontrollet periodike cdo 6 muaj zbulojnë në kohë infexionet që përndryshe do të përhapeshin në organizëm.Kontrollet rutinë tek dentisti janë invest i drejtëpërdrejtë për shëndetin e zemrës dhe trurit.

